- World Malaria Day-- WHO clears first malaria drug for newborns, flags new tests as old ones fail Times Of India —
- Vaccines prevent 1.8 million deaths yearly across Africa โ WHO Premium Times —
- Lagos spends 5% of health budget on vaccination โ Official Premium Times —
- Malaria is major illness affecting malnourished children โ MSF Premium Times —
- How missed malaria symptoms are putting pregnant women at risk The Standard —
- Ogun seeks residentsโ support in fight against malaria Punch —
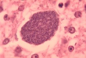
Malaria
Mosquito-borne infectious disease
Malaria is a mosquito-borne infectious disease that is transmitted by the bite of Anopheles mosquitoes. The symptoms of human malaria typically include fever, fatigue, vomiting, and headaches. In severe cases, the disease can cause jaundice, seizures, coma, or death. Symptoms usually begin 10 to 15 days after being bitten by an infected Anopheles mosquito. If not properly treated, people may have recurrences of the disease months later. Those who survive an infection develop partial immunity, being susceptible to reinfection although with milder symptoms. This partial resistance disappears over months to years if the person has no continuing exposure to malaria.
Also known as...
Plasmodium infection, induced malaria, ague, and marsh feverThe WHO is urging African nations to close immunization gaps to prevent millions of avoidable deaths.